-
متفرّقات
02 سبتمبر 2019 (22:53)
18 جندياً اسرائيلياً كانوا في مرمى نيران حزب الله لكن نصرالله رفض!
-
متفرّقات
02 سبتمبر 2019 (22:49)
وفاة السفير الروسي في مصر
-
متفرّقات
02 سبتمبر 2019 (22:45)
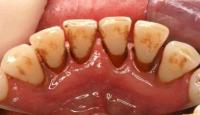
إليكم وصفة فعالة للتخلص من طبقة الجير التى ترهق الأسنان و اللثة!
-
متفرّقات
02 سبتمبر 2019 (22:40)
حاصل على «دكتوراه في الجودو»: بوتين يكشف عن فوائد «الجودو» في السياسة
-
متفرّقات
02 سبتمبر 2019 (22:26)
عن أي شيء كان السيسي ورئيس وزراء اليابان يبحثان؟
-
متفرّقات
02 سبتمبر 2019 (22:21)
بالفيديو… الألعاب النارية تقتل مغنية راب
-
متفرّقات
02 سبتمبر 2019 (00:48)
«محمد» في قائمة أكثر الأسماء انتشاراً بين المواليد في بريطانيا!
-
متفرّقات
02 سبتمبر 2019 (00:19)
'بيجو' تطلق أقوى سيارة في تاريخها
-
متفرّقات
02 سبتمبر 2019 (00:07)
بعد تحررها من «الولاية».. المرأة السعودية تحلم بالالتحاق بالجيش
-
متفرّقات
01 سبتمبر 2019 (23:44)
رقص وزفة مغربي.. مشاهد مسربة من حفل زفاف ابن كاظم الساهر (فيديو)